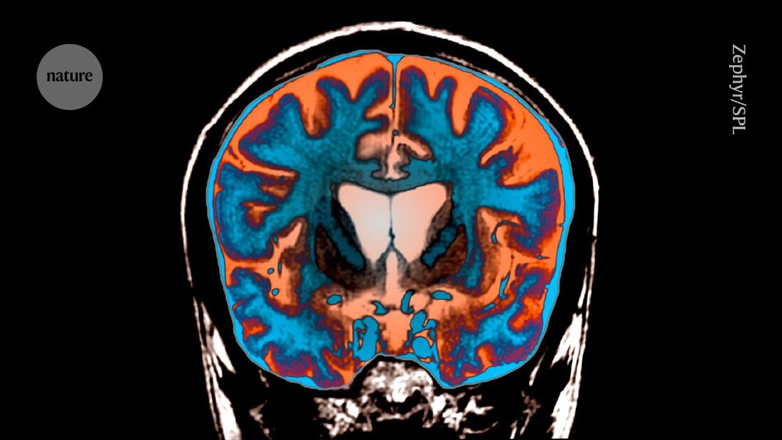
Enthüllt: Warum das tödliche Huntington-Gen so lange braucht, um Schaden zu verursachen
Erfahren Sie, warum das Huntington-Gen erst spät schädliche Auswirkungen zeigt, und welche neuen Erkenntnisse dazu gewonnen wurden.

Enthüllt: Warum das tödliche Huntington-Gen so lange braucht, um Schaden zu verursachen
Referenzen
-
Handsaker, R. E. et al. Cell https://doi.org/10.1016/j.cell.2024.11.038 (2025).
-
Scahill, R. I. et al. Nature Med. https://doi.org/10.1038/s41591-024-03424-6 (2025).